Wide Bay Nuclear Medicine (WBNM) uses the latest technologies available to ensure patients receive the best possible care.
PET/CT camera
WBNM installed the first PET/CT camera in Hervey Bay in March 2020, the GE Discovery IQ.
SPECT/CT cameras
WBNM installed a GE Infinia™ Hawkeye® 4 (Hawkeye) in Bundaberg in 2006 and in Hervey Bay in 2007.
WBNM installed a GE NM 850 SPECT/CT camera in the new Bourbong Medical Centre in February 2020, and also in Hervey Bay in October 2021. Both cameras have now been upgraded to GE NM 860 SPECT/CT cameras, giving them the ability to perform diagnostic CT.
SPEC/CT provides WBNM with high-resolution scans for the most accurate diagnoses possible with a lower patient dose, because we understand that patient care cannot be compromised.
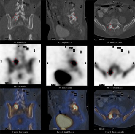
The following picture shows a series of images* taken by WBNM’s Hawkeye:

- The top row of images shows the low-dose CT scans in the coronal, sagittal and transverse planes.
- The middle row shows the corresponding nuclear SPECT images.
- The bottom row shows the fused SPECT/CT display.
The image series clearly demonstrates that the patient's back pain was due to active facet joint arthritis, which WBNM’s Hawkeye accurately localised in the right side of the fifth lumbar vertebra. These precise images enabled WBNM to target specific treatment to the exact site.
* The image quality shown above has been reduced to allow the images to load quicker on the internet. The scans available to WBNM are of considerably higher resolution.
Dedicated Cardiac Gamma Camera
WBNM installed one of the first dedicated cardiac cameras in Australia in 2004, the IS2 Pulse™ - compact digital dual-head gamma camera. WBNM retired this camera in February 2020.
